【ダイレクトボンディング】すきっ歯を治療した症例【15】
- ホーム >
- ブログ >
- 【ダイレクトボンディング】すきっ歯を治療した症例【15】
![]()
2025年9月29日
【ダイレクトボンディング】すきっ歯を治療した症例
リスク・副作用
- 強い衝撃などにより欠けたりすることがあります。
- 経年的に劣化(変色)してくる可能性があります。
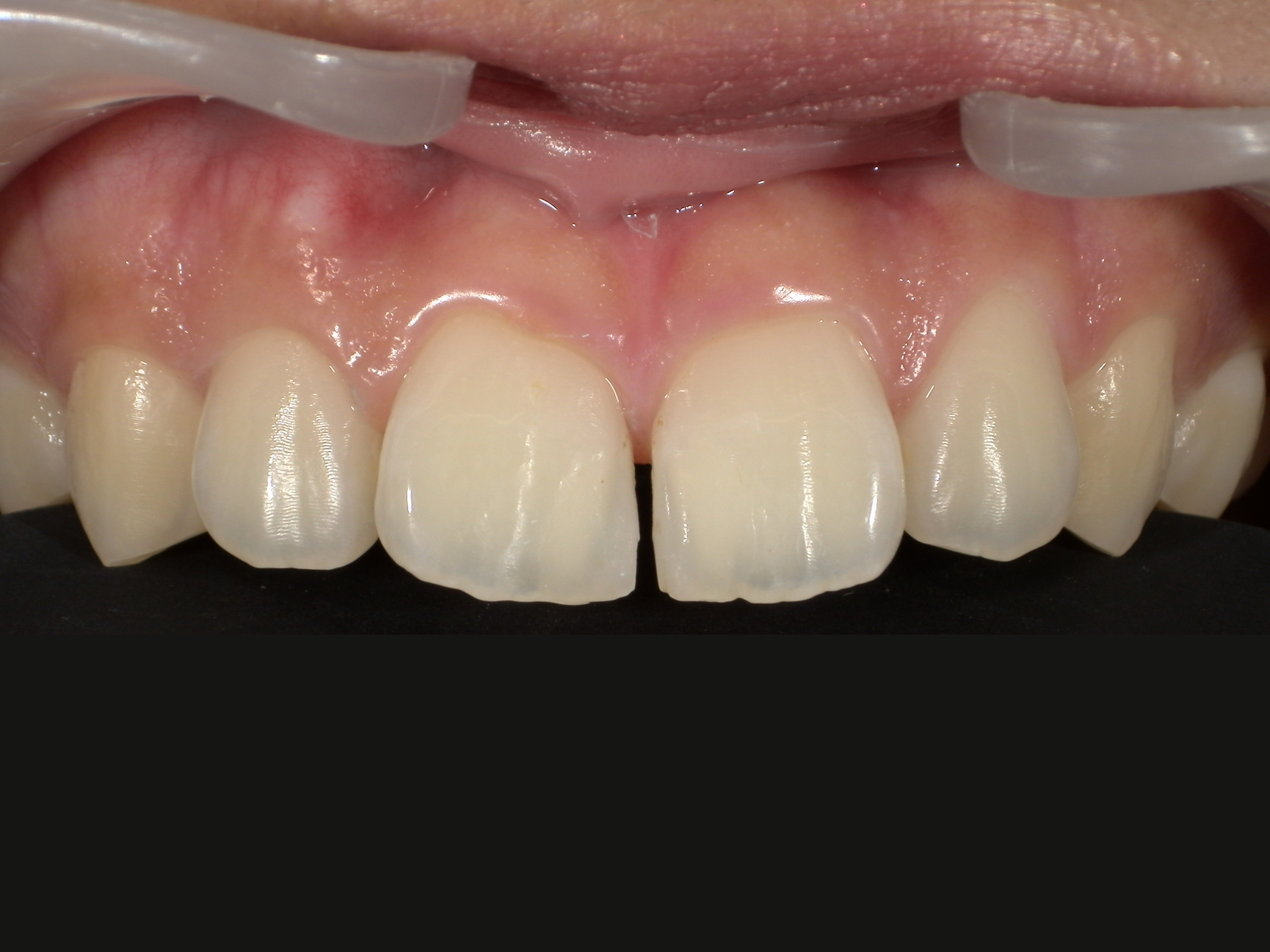
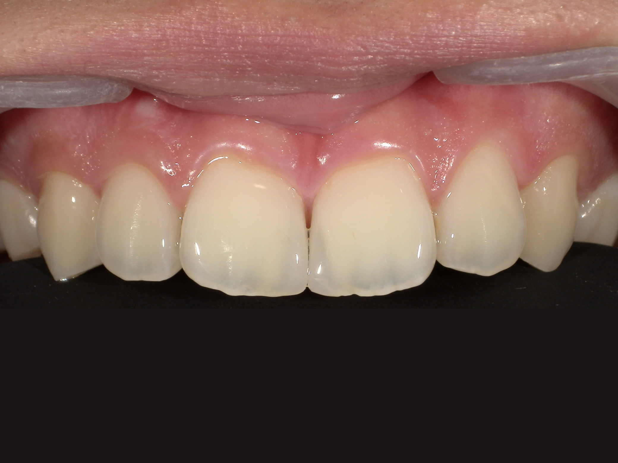
20代女性
- 治療前

- 治療後

| 年齢 |
20代 |
| 性別 |
女性 |
| 主訴 |
ダイレクトボンディングやり直し希望 |
| 治療回数 |
2回 |
| 治療内容 |
ダイレクトボンディング |
| 費用 |
44,000円(税込) |
| 院長コメント |
| ダイレクトボンディングのやり直しを希望されて来院された患者様です。他医院様にてダイレクトボンディングをされたのですが、少し開いているのが気になられていたようなので当院にて施術することになりました。遠方からお越し頂いた患者様でしたので経過観察は他医院様にお任せすることに致しました。 |
カテゴリーCATEGORIES
月別アーカイブARCHIVES