【ダイレクトボンディング】すきっ歯を治療した症例【16】
- ホーム >
- ブログ >
- 【ダイレクトボンディング】すきっ歯を治療した症例【16】
![]()
2025年10月6日
【ダイレクトボンディング】すきっ歯を治療した症例
リスク・副作用
- 強い衝撃などにより欠けたりすることがあります。
- 経年的に劣化(変色)してくる可能性があります。
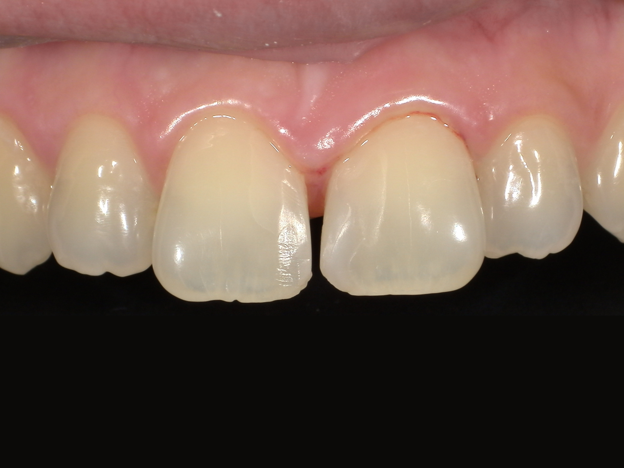
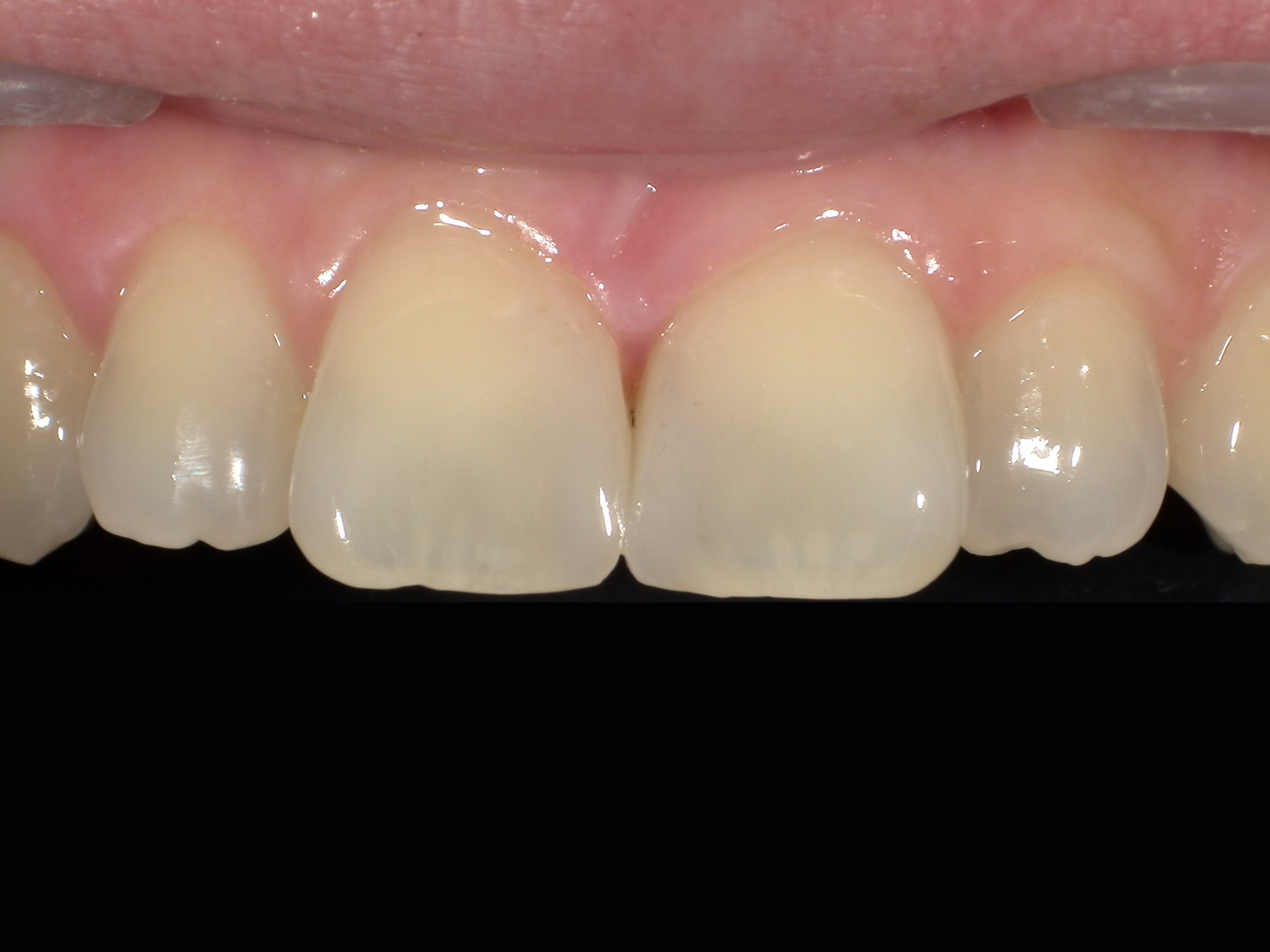
50代女性
- 治療前

- 治療後

| 年齢 |
50代 |
| 性別 |
女性 |
| 主訴 |
他医院でとれたダイレクトボンディングを治したい |
| 治療回数 |
2回 |
| 治療内容 |
ダイレクトボンディング |
| 費用 |
44,000円(税込) |
| 院長コメント |
| 他医院にてして頂いたダイレクトボンディングがとれたので当医院にてダイレクトボンディングを希望されました。とれた部位に歯石の沈着、歯茎からの出血が見られましたので来院当日に歯石除去、2回目にダイレクトボンディングをさせて頂きました。仕上がりにも満足して頂き現在は他の治療で通院して頂いています。 |
カテゴリーCATEGORIES
月別アーカイブARCHIVES