【ダイレクトボンディング】すきっ歯を治療した症例【18】
- ホーム >
- ブログ >
- 【ダイレクトボンディング】すきっ歯を治療した症例【18】
![]()
2025年11月4日
【ダイレクトボンディング】すきっ歯を治療した症例
リスク・副作用
- 強い衝撃などにより欠けたりすることがあります。
- 経年的に劣化(変色)してくる可能性があります。
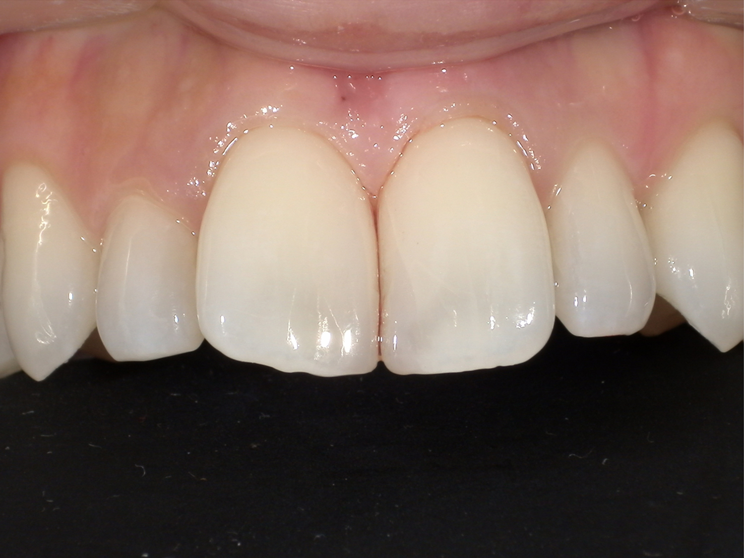
30代女性
- 治療前

- 治療後

| 年齢 |
30代 |
| 性別 |
女性 |
| 主訴 |
前歯のすきっ歯を治したい |
| 治療回数 |
2回 |
| 治療内容 |
ダイレクトボンディング |
| 費用 |
44,000円(税込) |
| 院長コメント |
| 本当は矯正をしたいけど2ヶ月後に結婚式があるという事でダイレクトボンディングを希望されました。歯の向きの問題があるので矯正の方がいいとお伝えした上で施術致しました。仕上がりには満足して頂き現在は来院が途絶えてしまっているので経過は追えていませんが問題ないと問題ないと思われます。 |
カテゴリーCATEGORIES
月別アーカイブARCHIVES